Préventions accompagnement en
orthodontie

Un suivi dès le plus jeune âge

Dès la visite des 3 ans, il est possible de détecter certaines anomalies dentaires chez l’enfant, comme une béance ou un articulé croisé.
Une prise en charge précoce et non invasive permet de repérer d’éventuelles habitudes néfastes :

  • respiration buccale,

  • succion prolongée (tétine, pouce, biberon).

L’ostéopathie intervient alors pour agir sur les forces de compression présentes au niveau des sutures crâniennes pendant la croissance.
Elle joue aussi un rôle de prévention et d’éducation, en aidant l’enfant à abandonner ses mauvaises habitudes de succion.

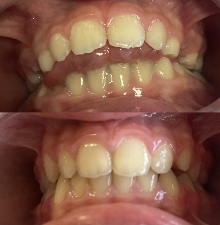
📸 Parfois, une image vaut mieux qu’un long discours… 
Voir les photos avant/après sur Instagram : Instagram

Préparer le terrain pour une bonne croissance

Entre 3 et 12 ans, il est possible de préparer l’enfant à l’orthodontie en travaillant sur :

  • la respiration,

  • la déglutition,

  • la mastication.

Ces fonctions sont essentielles pour garantir une croissance harmonieuse et tridimensionnelle des maxillaires.

Dans le cas de dysfonctions oro-faciales, le recours à une équipe pluridisciplinaire est fondamental pour assurer un accompagnement global et cohérent.

📖 Pour en savoir plus, découvrez notre article sur le sujet :  ERFISOF

Un accompagnement tout au long du traitement orthodontique

Pendant le traitement orthodontique, que ce soit chez l’enfant ou chez l’adulte, l’ostéopathie continue d’avoir un rôle central. Elle aide à :

  • maintenir l’équilibre de la colonne vertébrale,

  • assurer une bonne mobilité vertébrale,

  • diminuer les tensions musculaires.

Ces actions contribuent au confort et à l’efficacité du traitement orthodontique.
En travaillant de concert avec l’orthodontiste, l’ostéopathe favorise une adaptation plus harmonieuse aux appareils dentaires et limite l’apparition de douleurs associées (mâchoires, nuque, dos).
Un suivi régulier tout au long du traitement permet d’optimiser les résultats et d’en assurer la stabilité sur le long terme.

Une approche préventive et éducative

Au-delà de la correction mécanique, l’ostéopathie accompagne l’enfant et sa famille dans une démarche préventive.
En travaillant sur la posture, les fonctions respiratoires et la mobilité articulaire, elle favorise une croissance harmonieuse et aide l’enfant à adopter de meilleures habitudes.

L’éducation occupe ici une place essentielle : apprendre à bien respirer par le nez, à mastiquer correctement et à se tenir droit contribue directement à la santé bucco-dentaire et posturale.
L’ostéopathie s’inscrit ainsi dans une dynamique globale qui dépasse le simple traitement orthodontique, en donnant à l’enfant des clés pour préserver son équilibre et son bien-être tout au long de sa croissance.

Contactez le cabinet

Pour toute demande d’information ou précision, vous pouvez utiliser ce formulaire. Notre secrétaire reviendra vers vous rapidement.

Nom complet