Evolution d’une béance et dyspraxie linguale

Uncategorized

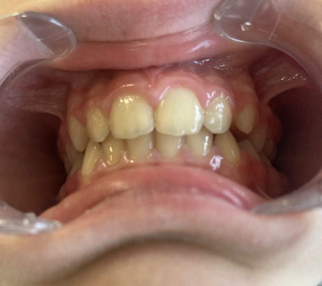
Introduction

Découvrez en images l’évolution d’une béance liée à une dyspraxie linguale et les bénéfices apportés par une prise en charge adaptée.

Articles récents :

ERFISOF

ERFISOF

L’association ERFISOF (Étude, Recherche et Formation Interdisciplinaire autour de la Sphère Oro-Faciale) est née en 2014 de la volonté de favoriser…

LA HERNIE DISCALE

LA HERNIE DISCALE

La hernie discale n’est pas une fatalité. Elle résulte d’un long processus de compression vertébrale et non d’un simple « faux…

Pourquoi mon enfant a-t-il la tête plate ? ou comment limiter les conséquences d’un torticolis congénital

Pourquoi mon enfant a-t-il la tête plate ? ou comment limiter les conséquences d’un torticolis congénital

Découvrez les causes et conséquences du torticolis congénital et de la plagiocéphalie positionnelle chez l’enfant, ainsi que l’importance d’une prise en…